About
About Us
Why Choose Us?
Team
Services
General Dentistry
Dental Hygiene
Gingivitis and Periodontitis
Root Canal Treatment
Extractions and Oral Surgery
Jaw clenching and Grinding
Snoring
The nervous patient - sedation
Sports Dentistry
Digital & Laser Dentistry
Cosmetic Dentistry
Whitening
White fillings & Onlays
Veneers
Orthodontic treatment & Invisalign
Missing Teeth
Crowns and Bridges
Dentures
Implants
Children's Dentistry
Dental Oncology
Gallery
Virtual Tour
Treatment Cases
Dental Vacation
Testimonials
Patient Information
Patient Tips
Blog
Virtual Consultation
New
Contact Us
TEETH WHITENING
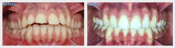
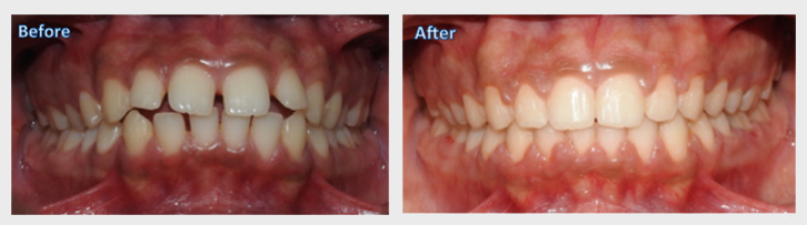
ORTHODONTICS & INVISALIGN
SMILE MAKEOVER
Book Appointment
Appointment Form
Name
Contact No
Date Of Appointment
Email Address
Message
Open chat